Hiện nay, quá trình chăm sóc và làm đẹp răng bằng phương pháp dán sứ Veneer được mô tả như việc “tân trang” cho nụ cười, mang lại sự tự tin với bề ngoài trắng sáng và đồng thời đảm bảo hiệu suất ăn nhai cũng như giảm thiểu rủi ro cho mô răng tự nhiên.

Ngoài ra, trong hành trình áp dụng Veneer sứ, nhiều người còn đặt ra những thắc mắc như quy trình thực hiện làm thế nào, chi phí liệu có phải là vấn đề quan trọng và địa chỉ nào là địa điểm tốt nhất để trải nghiệm quá trình này? 

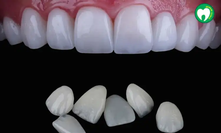
Dán răng sứ Veneer là gì?

Là giải pháp nha khoa thẩm mỹ hiện đại giúp cải thiện màu sắc, hình dáng của răng mà hầu như không cần mài răng nhiều. Miếng sứ mỏng ( khoảng từ 0.3 – 0.5mm) được dán lên bề mặt răng, mang lại nụ cười trắng sáng, tự nhiên nhưng vẫn đảm bảo độ bền chắc.

 

Tại Nha khoa Hồng Phước, dán sứ Veneer được thực hiện bằng công nghệ tiên tiến cùng vật liệu sứ chính hãng, giúp khách hàng sở hữu nụ cười đẹp hài hòa, khắc phục hoàn toàn khuyết điểm mà vẫn bảo tồn răng gốc tối đa.

ai nên dán sứ veneer

Dán sứ Veneer phù hợp với ai?

Lợi ích của dán sứ veneer

Không đau, không ê buốt

Với công nghệ hiện đại và kỹ thuật non-prep/ít mài, quá trình thực hiện diễn ra nhẹ nhàng, không xâm lấn, mang lại trải nghiệm êm ái cho khách hàng, kể cả những người sợ nha khoa.

Vẻ đẹp tự nhiên như răng thật

Veneer được chế tác từ chất liệu sứ cao cấp có độ trong mờ lý tưởng, mô phỏng chân thực men răng tự nhiên. Màu sắc và hình dáng răng được thiết kế riêng theo tỉ lệ khuôn mặt, sở thích và cá tính của từng người.

Bền đẹp theo năm tháng

Với quy trình dán chuẩn xác và vật liệu sứ chính hãng, răng Veneer có thể đồng hành từ 10 đến 20 năm. Khi chăm sóc đúng cách, bạn không chỉ giữ được vẻ đẹp thẩm mỹ mà còn duy trì sức khỏe răng miệng ổn định lâu dài.

Giúp bạn tỏa sáng tự tin hơn

Một hàm răng trắng sáng, đều đặn và hài hòa chính là “vũ khí” giúp bạn rạng rỡ hơn khi cười, cuốn hút hơn khi giao tiếp và tự tin hơn trong cả công việc lẫn cuộc sống.

4 tiêu chuẩn nụ cười duyên

CÁC LOẠI VENEER SỨ ĐƯỢC SỬ DỤNG TẠI NHA KHOA HỒNG PHƯỚC

E.max Press Veneer

Là loại sứ thủy tinh Lithium Disilicate nổi tiếng với độ bền và khả năng thẩm mỹ cao. Sở hữu độ phản quang gần giống men răng thật. Emax Press là sự lựa chọn lý tưởng cho những khách hàng mong muốn nụ cười trắng sáng những vẫn hài hòa, tự nhiên

lisi press veneer

Lisi Press Veneer

Là phiên bản cải tiến cấu trúc vi tinh thể đặc biệt, cho độ trong suốt vượt trội và độ cứng ổn định. Lisi Press đặc biệt phù hợp cho các trường hợp yêu cầu độ thẩm mỹ tinh tế, nhất là vùng răng cửa, nơi ánh sáng và màu sắc đóng vai trò quyết định.

Quy trình và thời gian thực hiện dán sứ veneer tại Nha khoa Hồng Phước

Tại nha khoa Hồng Phước áp dụng quy trình dán Veneer răng theo tiêu chuẩn toàn cầu, đảm bảo mang lại hiệu quả cao và an toàn với các bước như sau:

vô trùng- vô khuẩn dụng cụ nha khoa Hồng Phước

BƯỚC 1

Khám và tư vấn

vô trùng- vô khuẩn dụng cụ nha khoa Hồng Phước

BƯỚC 2

Lấy dấu hàm và làm veneer tạm

vô trùng- vô khuẩn dụng cụ nha khoa Hồng Phước

BƯỚC 3

Mài răng và gắn veneer tạm

vô trùng- vô khuẩn dụng cụ nha khoa Hồng Phước

BƯỚC 4

Gắn thật lần 1 để chỉnh sửa veneer

vô trùng- vô khuẩn dụng cụ nha khoa Hồng Phước

BƯỚC 5

Gắn thật lần 2 và chỉnh khớp

  • Bước 1. Khám và tư vấn: Bác sĩ tiến hành kiểm tra tổng quát tình trạng răng miệng và chụp phim X quang để kiểm tra khiếm khuyết, xác định nguyên nhân hư tổn và phương án điều trị (nếu cần). Đồng thời, bác sĩ sẽ lên trước bản thiết kế nụ cười lúc này để giúp bạn nắm được tiến trình và kết quả lập tức của phương pháp dán sứ Veneer.
  •  
  • Bước 2. Lấy dấu hàm và làm veneer tạm: Tiếp theo, Nha sĩ sẽ lấy dấu hàm răng bằng cao su lấy dấu. Đồng thời, bác sĩ cũng sẽ lấy số đo răng của bạn để làm bộ Veneer tạm cho lần hẹn tiếp theo.
  •  
  • Bước 3. Mài răng và gắn veneer tạm: Sau khi đã chuẩn bị xong Veneer tạm, bác sĩ sẽ tiến hành dũa một lớp mỏng men răng để tạo độ kết dính và gắn Veneer tạm cho bạn. Lúc này, bác sĩ và bạn sẽ cùng cân nhắc lại màu răng phù hợp một lần nữa trước khi gắn Veneer thật.
  •  
  • Bước 4. Gắn thật lần 1 để chỉnh sửa veneer: Ở bước này, bác sĩ sẽ thử gắn các miếng Veneer thật đã được thiết kế riêng cho bạn. Tuy nhiên, giữa hình dung ban đầu và thực tế có thể có những khác biệt nhỏ, vì vậy bác sĩ sẽ điều chỉnh tỉ mỉ về màu sắc, độ bóng, độ lồi lõm hoặc hình dáng răng để đảm bảo hài hòa tối đa với gương mặt và nụ cười.
  •  
  • Bước 5 Gắn thật lần 2 và chỉnh khớp: Sau khi đã đạt được sự hoàn hảo về thẩm mỹ, bác sĩ sẽ tiến hành gắn cố định các miếng Veneer. Đồng thời, khớp cắn cũng được kiểm tra và điều chỉnh chính xác, giúp bạn không chỉ sở hữu nụ cười đẹp mà còn ăn nhai thoải mái, chắc chắn mỗi ngày.
  •  
  • Thời gian thực hiện: 2 – 3 buổi hẹn tùy theo số lượng răng và mức độ phức tạp

Vì sao chọn nha khoa Hồng Phước để làm dán sứ veneer

Ứng dụng công nghệ hiện đại

Từ Digital Smile Design (DSD), máy scan 3D đến labo chế tác răng sứ riêng tại chỗ, mọi quy trình đều được số hóa và kiểm soát chặt chẽ để đảm bảo độ chính xác và thẩm mỹ cao nhất.

Kết quả thẩm mỹ tự nhiên – cá nhân hóa theo từng khuôn mặt

Mỗi nụ cười được thiết kế riêng biệt, hài hòa với gương mặt, thần thái và mong muốn của khách hàng, chứ không theo một khuôn mẫu cố định.

Vật liệu sứ cao cấp, chính hãng, an toàn sinh học

Chúng tôi sử dụng các dòng sứ nhập khẩu từ châu Âu và Mỹ, đảm bảo màu sắc tự nhiên, độ bền cao và tương thích tối ưu với cơ thể.

Kỹ thuật không mài/ít mài, bảo tồn răng thật tối đa

Với công nghệ hiện đại, nhiều trường hợp khách hàng có thể thực hiện mà không cần mài răng, giúp giảm thiểu xâm lấn và cảm giác khó chịu.

Chính sách bảo hành minh bạch, rõ ràng

Là một nha khoa uy tín, có trách nhiệm tại Tây Ninh, Nha khoa Hồng Phước cam kết theo sát và hỗ trợ bạn trong suốt quá trình, từ lúc bắt đầu cho đến giai đoạn đeo hàm duy trì để đảm bảo nụ cười bền đẹp theo thời gian cùng các chính sách bảo hành rõ ràng, minh bạch.

Chi phí dán sứ Veneer tại nha khoa Hồng Phước

Tại nha khoa Hồng Phước, chi phí được công khai rõ ràng, minh bạch theo từng dịch vụ, đi kèm với chính sách bảo hành cụ thể và lộ trình điều trị cá nhân hóa. Tùy vào tình trạng răng, mục tiêu thẩm mỹ và mong muốn của khách hàng, bác sĩ sẽ tư vấn phương án phù hợp nhất, cả về chuyên môn lẫn ngân sách.

DANH MỤC GIÁ (BẢO HÀNH)
Veneer None Prep Emax 10.000.000đ / răng (10 năm)
Veneer sứ Lisi 7.500.000đ / răng (5 năm)
Veneer sứ Emax Press 6.500.000đ / răng (5 năm)
Inlay / Onlay / Overlay sứ Emax 5.000.000đ / răng (5 năm)
Inlay / Onlay / Overlay Zirco 6.000.000đ / răng (5 năm)
Lưu ý quan trọng:

Câu chuyện khách hàng tại Hồng Phước Dental

Các câu hỏi thường gặp về dán sứ veneer

Dán sứ veneer có cần mài răng không?
Tùy tình trạng răng và khớp cắn, bác sĩ sẽ chọn kỹ thuật không mài (non-prep) hoặc mài tối thiểu (minimal-prep) để bảo tồn răng thật, đảm bảo thẩm mỹ tối ưu.
Không đau hay ê buốt. Với công nghệ hiện đại tại Platinum Dental, quá trình thực hiện nhẹ nhàng, thường không cần gây tê, đảm bảo thoải mái cho khách hàng.
Với chăm sóc đúng cách, tái khám định kỳ và vệ sinh răng miệng tốt, mặt dán Veneer có thể bền từ 10 – 20 năm, thậm chí lâu hơn với vật liệu cao cấp.
Có thể. Tại Nha khoa Hồng Phước, bác sĩ sử dụng công nghệ Digital Smile Design (DSD) để thiết kế dáng răng và màu sắc phù hợp với gương mặt, phong cách và mong muốn của bạn.
Bạn có thể ăn uống bình thường, nhưng nên hạn chế cắn vật cứng, thức ăn quá dai và duy trì vệ sinh răng miệng tốt để bảo vệ độ bền và thẩm mỹ của Veneer.
Không. Veneer sứ cao cấp chống bám màu tốt, không bị xỉn như răng thật. Tuy nhiên, cần vệ sinh răng miệng đều đặn để duy trì vẻ đẹp lâu dài.
Bạn cần thêm thông tin?

Đội ngũ nha khoa Hồng Phước luôn sẵn sàng hỗ trợ và tư vấn miễn phí cho bạn.

Địa chỉ

237A, Trần Hưng Đạo, khu phố 1, P Tân Ninh, Tỉnh Tây Ninh.

Liên hệ

SDT: 0276 6293 388 – 0968 742 757
Email: nhakhoahongphuoctayninh@gmail.com

Thời gian làm việc

Thứ 2 – Thứ 7: 7h30 đến 18h30

Chủ nhật: 7h30 đến 17h00

Kết nối với Nha Khoa Hồng Phước

Thông tin liên hệ

Nha khoa Hồng Phước luôn sẵn sàng đồng hành cùng bạn trong hành trình chăm kiến tạo nụ cười rạng rỡ và khỏe mạnh. Dù bạn có nhu cầu tư vấn, hay chỉ đơn giản là cần giải đáp, hãy để lại lời nhắn, chúng tôi sẽ phản hồi sớm nhất!

Đặt lịch hẹn thăm khám và tư vấn miễn phí

Scroll to Top